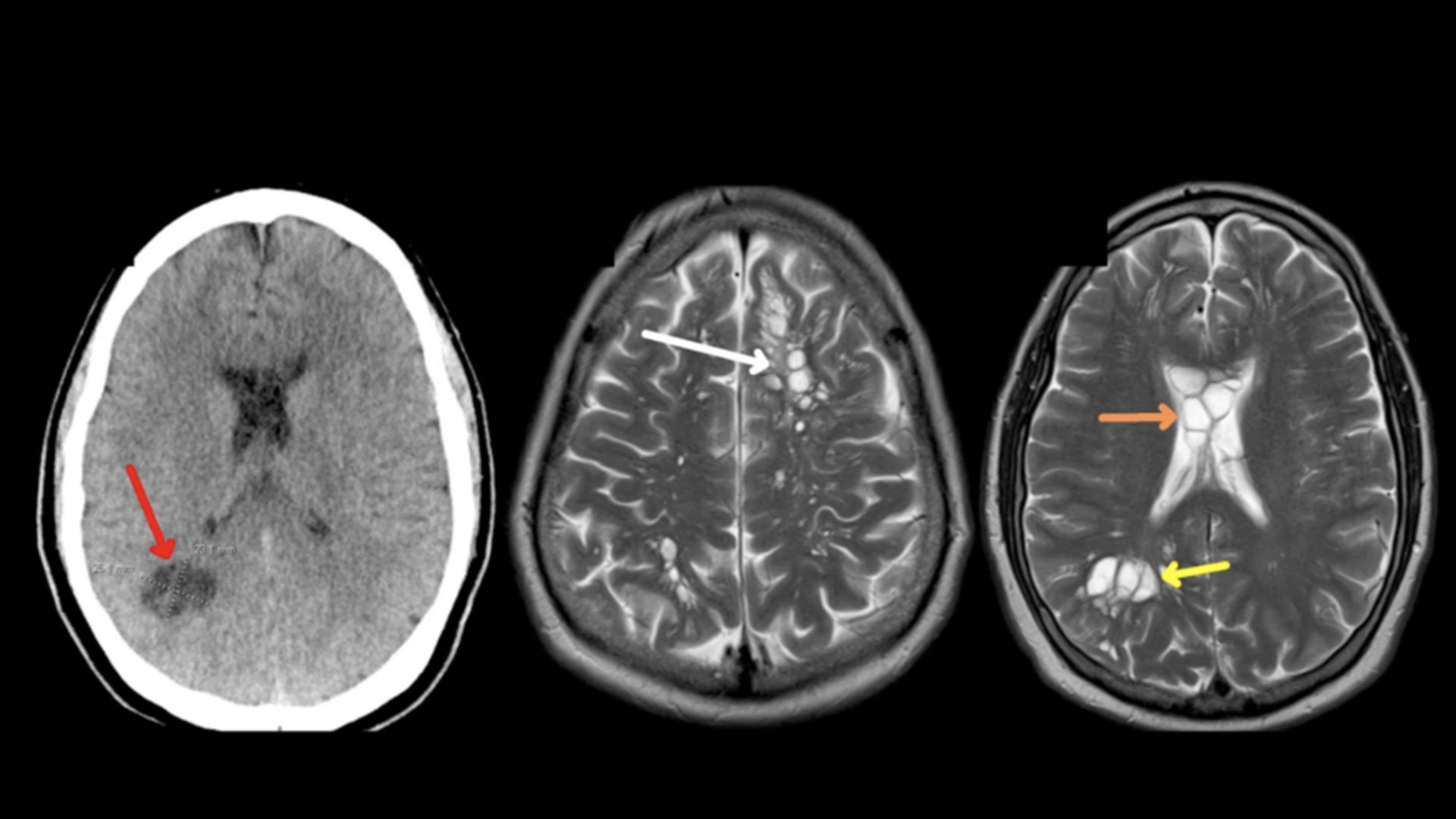
ঘটনা ভারতের পশ্চিম মেদিনীপুরের। পাঁচ বছর বয়সী একটি শিশুর মাথা মাত্রাতিরিক্ত ফুলে যায়। মাথায় হওয়া সিস্টের কারণে তার মাথায় অসহ্য ব্যথা হত। ক্রমশ অসাড় হতে শুরু করেছিল দেহের একাংশও। চিকিৎসকরা অস্ত্রোপচার করে তার মস্তিষ্ক থেকে ক্রিকেট বলের আকারের সিস্টটি অপসারণ করেন। দেখা যায়, সেই সিস্ট কয়েকশো ফিতাকৃমির লার্ভায় ভর্তি!
ফিতাকৃমির সংক্রমণ কিন্তু বিরল কিছু নয়। একটা সময় অসংখ্য মানুষ এই পরজীবীর সংক্রমণে আক্রান্ত হতেন। বর্তমানে সেই সংখ্যা কমে আসলেও বিলীন হয়ে যায়নি। আমাদের দেশে অসংখ্য শিশু প্রতিবছর কৃমির সংক্রমণে ভোগে।
বিজ্ঞাপন
চিকিৎসকদের মতে, বহু মানুষের দেহেই এই ধরনের পরজীবী সংক্রমণ দেখা যায়। অনেকের ক্ষেত্রে কোনো সমস্যার সৃষ্টি হয় না। আবার অনেকের গুরুতর সমস্যা দেখা দেয়। বিশেষ করে শিশুদের। তাই কৃমির সংক্রমণ সম্পর্কে সচেতন থাকা জরুরি।

ফিতাকৃমি সংক্রমণ কীভাবে হয়?
আধসিদ্ধ বা কম আঁচে রান্না করা মাংস, মাছ ও সবজিতে যদি ফিতাকৃমির ডিম থাকলে তা মানুষের দেহে প্রবেশ করতে পারে। পাশাপাশি অপরিশোধিত পানি থেকেও এই সংক্রমণ হতে পারে। মাঠে বা ঘাসজমিতে পড়ে থাকা মলে কৃমির ডিম থাকে। অর্থাৎ খোলা স্থানে পড়ে থাকা মলযুক্ত ঘাস কোনো গবাদি পশু খেলে তার শরীরেও কৃমির ডিম প্রবেশ করতে পারে। এরপর তা লার্ভা হয়ে ছড়িয়ে পড়ে বিভিন্ন মাংসপেশিতে। আর এই পশুর মাংস ভালো করে ধুয়ে নির্দিষ্ট তাপমাত্রায় রান্না করে না খেলেই বিপদ!
বিজ্ঞাপন
একইভাবে কৃমির ডিম স্বাদু পানির মাছের শরীরেও ছড়িয়ে পড়ে। পূর্ণবয়স্ক ফিতাকৃমি হোস্ট বা ধারক ছাড়া বাঁচতে পারে না। কিন্তু ডিম বা লার্ভা বেঁচে থাকতে পারে। অর্থাৎ বলা যায়, পূর্ণবয়স্ক কৃমি যদি কোনোভাবে মানুষের দেহে প্রবেশ করে তাহলে বিশেষ সমস্যা সৃষ্টি হয় না। মানুষের ক্ষুদ্রান্ত্রে এমনিতেই অনেক সময়ে কৃমি পাওয়া যায়। কিন্তু যখন কৃমির ডিম বা লার্ভা মানুষের শরীরে প্রবেশ করে তখন সমস্যা সৃষ্টি হয়। সেটি কেবল ক্ষুদ্রান্ত্রে সীমাবদ্ধ থাকে না। টিসু স্প্রেডের মাধ্যমে পেশি, চোখ ও মস্তিষ্কে পৌঁছে যায়।
ক্ষুদ্রান্ত্রে ফিতাকৃমির সংক্রমণ বা টিনিয়াসিস
মানুষের ক্ষুদ্রান্ত্রের দেওয়ালে পরিণত ফিতাকৃমি আটকে থাকে চোষকের সাহায্যে। খাবার হজম হওয়ার সময় সেখান থেকে পুষ্টি গ্রহণ করে। অনেক সময় এক্ষেত্রে ধারক ব্যক্তি কিছু অনুভব করেন না। তবে কখনও কখনও অপুষ্টি, হঠাৎ করে ওজন কমে যাওয়া, অসম্ভব ক্লান্তি, বমি ও ডায়রিয়ার মতো সমস্যা দেখা দিতে পারে এমন সংক্রমণের কারণে। কিছু কিছু ফিতাকৃমি ৩০ বছর পর্যন্ত থেকে যেতে পারে। এরা ৩০ ফুট পর্যন্ত দৈর্ঘ্যের হতে পারে।

শরীরের অন্যান্য অংশে ফিতাকৃমির সংক্রমণ বা সিস্টিসার্কোসিস
ফিতাকৃমির ডিম বা লার্ভা যদি শরীরের অন্য অংশে পৌঁছে যায় তখন তাকে সিস্টিসার্কোসিস বলে। এই সংক্রমণের ফলে দেহের যেসব অংশে লার্ভা পৌঁছায় সেখানে সিস্ট হয়। ফুসফুস, যকৃতে সিস্ট হলে সেগুলো ক্রমশ বড় হয়। এতে অঙ্গগুলোর কার্যক্ষমতা হ্রাস করতে শুরু করে। পেশিতেও এমন সিস্ট হতে পারে।
মস্তিষ্কে ফিতাকৃমির সংক্রমণ বা নিউরোসিস্টিসার্কোসিস
সবচেয়ে বেশি সমস্যা হয় যদি মস্তিষ্কে এই লার্ভা পৌঁছে যায়। একে বলা হয় নিউরোসিস্টিসার্কোসিস। মস্তিষ্কে সিস্ট হলে কনভালশান বা খিঁচুনি-তড়কা, হঠাৎ করে অজ্ঞান হওয়া ইত্যাদি সমস্যা দেখা দেয়। এই পর্যায়ে আক্রান্ত ব্যক্তি গুরুতর অসুস্থ হয়ে পড়তে পারেন।
মস্তিষ্কের কোনো অংশে এক বা একাধিক ফিতাকৃমির লার্ভার অবস্থানের ফলে সেরিব্রোস্পাইনাল ফ্লুয়িডের প্রবাহ ব্যাহত হয়। ধীরে ধীরে জায়গাটি ফুলতে শুরু করে। এতে কথা বলা, দেহের স্বাভাবিক চলাচল ব্যাহত হয়। অনেকক্ষেত্রে এই সমস্যায় অস্ত্রোপচারও করতে হয়। পাশাপাশি রেটিনার পিছনেও এই লার্ভা অবস্থান করতে পারে।

চিকিৎসকদের মতে, এই ধরনের সংক্রমণের ফলে সবসময় যে সমস্যা হবেই, তা নয়। সব সিস্ট সমস্যার সৃষ্টি করেও না। তবে, মস্তিষ্কের বিষয়টি গুরুত্বপূর্ণ। এমনও হয়, সংক্রমণ হওয়ার ১০ বছর পরে উপসর্গ দেখা গেল। তাই সতর্ক থাকতে হবে সবসময়ই।
মূল সমস্যার সৃষ্টি করে টিনিয়া সোলিয়াম। টিনিয়া স্যাজিনাটা অতটা সমস্যার কারণ নয়। অন্যদিকে, ফিশ টেপওয়ার্ম ক্ষুদ্রান্ত্রে ভিটামিন বি ১২ শোষণে বাধা দেয়। ফলে দেখা দিতে পারে রক্তাল্পতা।

চিকিৎসা কী?
মূলত অ্যান্টি প্যারাসাইটিক ও অ্যান্টি কনভালশন ড্রাগ দিয়েই এর চিকিৎসা করা হয়। তবে আক্রান্ত হওয়ার বহু পরে উপসর্গ দেখা দিলে মূলত অ্যান্টি কনভালশন ড্রাগ দেওয়া হয়। দীর্ঘ দিন ধরে এই চিকিৎসা চলতে পারে। নিয়মিত চিকিৎসকের পরামর্শ নিতে হবে।
ফিতাকৃমির সংক্রমণ হওয়ার আগেই তা রুখতে হবে। নিজস্ব পরিচ্ছন্নতা বজায় রাখা জরুরি। স্ট্রিট ফুড বা রাস্তার পাশে থেকে পানি খাওয়ার ক্ষেত্রে বুঝেশুনে খেতে হবে। নিরাপদ কিনা দেখতে হবে। মাছ-মাংস ভালো করে রান্না করে বা সেদ্ধ করে খেতে হবে।
এনএম

